科普文章
【杨柳科普】增强CT留置针穿刺位置的选择
随着医疗技术水平不断的提高,CT 检查已成为辅助诊断不可缺少的一部分。增强CT是一种无创、快速的医学影像检查方法,通过静脉注射碘对比剂,显著提高病变组织与正常结构的对比度,从而清晰显示解剖细节和组织特性。为了保证碘对比剂可以顺利提高对比度,留置针穿刺位置的选择尤为重要。
一、增强CT留置针穿刺的目的
增强CT通过对静脉注入对比剂的方式来改变感兴趣区的组织密度,从而更好地区分组织结构、判断病变组织特性。

增强CT预留留置针
二、增强CT对比剂注射方法
增强CT对比剂注射方法有经验法、小计量测试法、智能追踪三种扫描方法。间接-智能追踪法是增强CT时常用的对比剂注射方法。即从静脉注入对比剂,对比剂经过一次肺循环后进行体循环时,监测靶血管的CT值,待其达到阈值时自动进行扫描。
在应用间接法-智能追踪扫描方式时,如果留置针位置选择不当,可能会出现大部分对比剂未能第一时间参与灌注,导致在肺循环中对比剂与血液比例远低于正常值,即便达到靶血管的阈值,而感兴趣区CT值仍然过低,影响诊断。

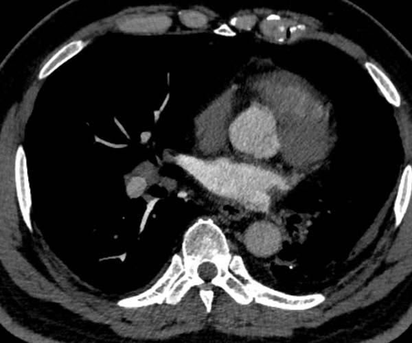
灌注不足 主动脉弓CT值过低
三、对比剂循环路径与留置针常规穿刺位置的选择
1、常规增强CT扫描时造影剂的循环路径
上肢静脉→腋静脉→锁骨下静脉→头臂静脉→上腔静脉→右心房(开始肺循环)
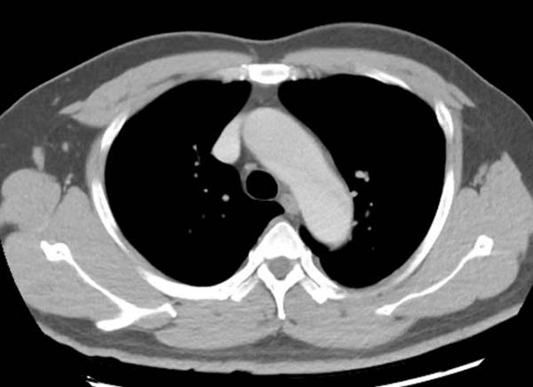
当对比剂到达锁骨下静脉、头臂静脉时,左右两侧的路径发生分歧,右锁骨下静脉→右头臂静脉路径距右心房的距离要明显短于左锁骨下静脉→左头臂静脉路径,右锁骨下静脉连接右头臂静脉后直接汇入右心房,而左锁骨下静脉连接左头臂静脉的同时需跨越左颈总动脉、头臂干,部分情况下还会受到主动脉弓的影响。
如下图所示

2、常规优先选择右上肢留置穿刺针的原因
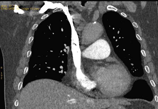
增强CT在高速团注时应优先选择血管条件好、管径粗、伪影少、路途短的血管快速注射对比剂完成循环。大多数人右上肢血管管径粗、走行直,没有太多的弯曲,对比剂经头臂静脉直接进入上腔静脉的路程短且通畅。

右锁骨下静脉经头臂静脉直接进入上腔静脉
3、左上肢留置穿刺针存在的问题
左侧锁骨下静脉需跨过主动脉弓,路程较远且比较迂曲,受解剖结构影响,左侧锁骨下静脉狭窄较右侧更为多见,且一般狭窄程度重于右侧,注射对比剂时遇到阻力较大,容易出现以下情况:
1) 由于受主动脉压迫导致对比剂冲入浅表静脉网中,受阻严重导致团注效果不佳。

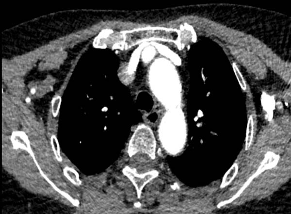
头臂干压迫左头臂静脉

左侧锁骨下静脉受主动脉弓挤压,
导致对比剂冲入浅表静脉网中

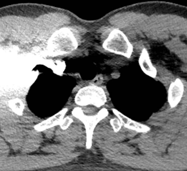
左侧锁骨下静脉受主动脉弓挤压 血管充盈不佳
2) 左上肢留置针穿刺高速团注对比剂时,不但行程远、还受主动脉弓压迫导致进入右心房的时间延长,同等体重患者需增加注射压力和药量。

进入肺循环的造影剂总量不足
导致监测层CT值曲线迟迟达不到触发值
3) 左头臂静脉回流产生线束硬化伪影,影响心脏及大血管造影检查。

静脉回流对头颈CTA的影响
四、特殊情况下留置针穿刺位置的调整
留置针穿刺时并非总是右手原则,还要综合考虑患者的血管条件、是否存在损伤风险、急重症患者的操作便利等情况。在条件允许、保证图像质量情况下尽量首选穿刺右上肢肘正中静脉。特殊情况,需更换为左侧穿刺:
1)右侧上肢骨折、皮肤受损时不易穿刺;
2)右侧乳房切除、腋下淋巴结清扫术;
3) 透析患者需保护造瘘侧手臂;
4) 右侧上肢血管畸形或闭塞。


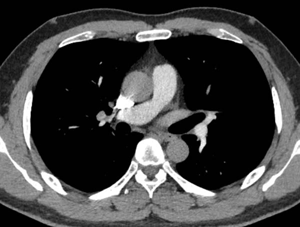
右锁骨下堵塞导致肺动脉充盈欠佳
本文仅限于学术交流,如有不适请及时就医。
- 标签:








京公网安备11010502033717号