科普文章
【杨柳探营】清华大学附属垂杨柳医院多学科协作为高龄患者解除复杂气道狭窄
近日,清华大学附属垂杨柳医院胸外科联合麻醉科、第一手术区等MDT多学科团队,成功为一位因气管支架旁组织增生导致严重气道狭窄的高龄患者实施手术。术中,胸外科团队通过多种内镜与介入技术联用,彻底解除患者呼吸困难症状。目前患者已平安出院。
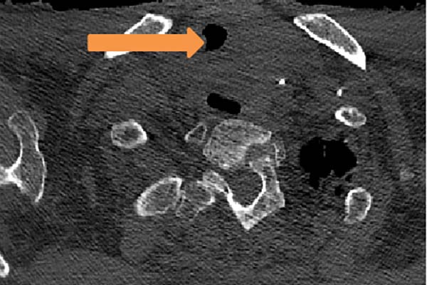
耄耋之年的患者李女士(化名)此前因气道受压曾留置气管支架,尽管原发病治疗取得一定效果,但近两周来喘憋症状反复加重,日常活动及平卧休息均受影响,辗转前来清华大学附属垂杨柳医院胸外科寻求帮助。在接诊后,胸外科团队为患者迅速完善了相关检查,胸部CT及肺功能检测发现患者气道狭窄位置位于原有气管支架旁,因组织增生导致气道严重堵塞。

术前CT(箭头处为气道最狭窄处)
面对患者高龄、基础病复杂、手术风险高等挑战,胸外科第一时间启动MDT多学科会诊机制。麻醉科团队针对患者心肺功能状况制定了个体化气道管理与麻醉方案;第一手术区护理团队调配经验丰富人员提供全程支持。各方通力协作,为手术安全实施奠定了坚实基础。

术前CT(箭头处为气道最狭窄处)
手术中,胸外科团队采用多技术联合操作策略:首先通过常规电子支气管镜完成病变探查与定位,随后置入硬支气管镜建立稳定操作通道,保障术中通气安全。针对气道内增生组织,团队交替使用氩气刀进行精准切除,并应用冷冻治疗仪对残余病灶进行消融与止血。最后在硬镜支撑与细支气管镜引导下,完整取出原有气管支架,未对气道黏膜造成附加损伤。
术后,患者喘憋症状立即得到缓解,恢复自主顺畅呼吸。术后第一天即在医护人员指导下逐步开展日常活动,整体恢复情况良好。术后第三天,患者平安出院。

图1术后CT(箭头处为原气道最狭窄处)

图2 术中氩气刀治疗

图3 术中冷冻治疗

图4气道肿物清除术后图
此次成功救治高龄复杂气道狭窄患者,充分展现了医院胸外科团队在疑难气道疾病诊疗方面的综合能力。科室不仅具备硬支气管镜、电子支气管镜、氩气刀、冷冻治疗仪等多种内镜与介入设备操作技术,更能根据病情灵活组合应用。同时,依托医院多学科协作平台,科室能够为高龄、危重、复杂气道疾病患者提供系统化、个性化的诊疗方案,实现技术联动与全程管理,切实帮助患者解除病痛、重获美好生活。
胸外科表示,将持续优化多学科协作机制,深化内镜与介入技术在气道疾病中的应用,进一步提升复杂危重病例的综合救治能力,努力为更多患者提供精准、安全、有效的诊疗服务。
下一篇: 【杨柳探营】祛除六年胸痛顽疾








京公网安备11010502033717号