医院新闻
【杨柳探营】标准化+个性化:为晚期肺肉瘤样癌患者带来希望
近日,清华大学附属垂杨柳医院胸外科通过化疗联合免疫治疗方案,成功为一例晚期肺肉瘤样癌患者实现肿瘤明显缩小及症状缓解,为后续治疗奠定基础。
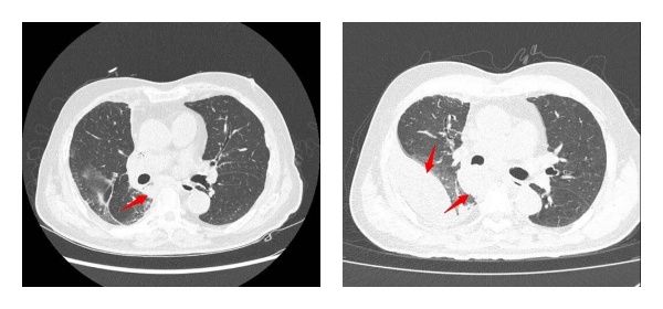
患者为76岁男性,三个月前突发右侧胸痛伴胸闷,症状进展迅速,一周后需持续吸氧。当地医院检查发现右侧大量胸腔积液,胸部CT提示右肺门巨大占位,伴胸膜肿物及纵隔淋巴结肿大。转入清华大学附属垂杨柳医院胸外科后,经团队行经支气管超声引导纵隔淋巴结穿刺活检,病理确诊为肺肉瘤样癌,PD-L1表达大于90%,PET-CT进一步明确为晚期病变。
针对该患者病情特点,胸外科团队制定了化疗联合免疫治疗的个体化方案。2025年11月下旬及12月中旬,患者分别完成两个周期的白蛋白紫杉醇+卡铂联合帕博利珠单抗治疗。治疗后患者胸闷、喘憋等症状显著缓解,影像学复查显示右肺门肿瘤及胸膜多发转移病灶均明显缩小,治疗效果显著。目前患者整体病情得到有效控制,已出院继续接受恢复性治疗。

此病例的成功救治,体现了医院胸外科在晚期肺癌特别是少见病理类型诊疗方面,通过精准病理诊断、规范分期评估及个体化综合治疗,为患者提供系统、有效的全程管理。科室将继续跟进该患者治疗进展,并不断优化肺癌多学科诊疗模式,提升复杂肺癌病例的诊治水平。
科普小课堂
一、什么是肺肉瘤样癌
肺肉瘤样癌(pulmonary sarcomatoid carcinoma,PSC)是一种罕见的发病机制尚不明确的非小细胞肺癌,在所有肺部肿瘤中所占比例不足1%[1, 2]。PSC相较其他类型的NSCLC生物学行为更具侵袭性,极易转移,且早期手术后复发率较高。其对传统治疗模式耐药性更强,导致其预后较其他NSCLC更差[3]。
二、临床表现
老年男性、重度吸烟人群,长期工作在有尘土、化学品及辐射危险环境中的人群患病率更高,其临床表现与其他类型肺癌相似,常表现为胸痛、咳嗽、咯血、呼吸困难和体重下降等[3]。
三、治疗
近年来,肺肉瘤样癌的治疗除传统化疗外,免疫治疗的广泛应用为PSC患者带来了长期生存的希望,免疫检查点是一类在免疫细胞上表达、能调节免疫激活程度的一系列蛋白[4]。在这些蛋白质中,程序性细胞死亡蛋白1(PD-1)/程序性细胞死亡配体1(PD-L1)是研究最多的蛋白质,它们的阻断抗体已被批准用于治疗多种癌症[5]。
清华大学附属北京市垂杨柳医院胸外科目前常规开展肺部结节、纵隔肿物、气道疾病、食管疾病等常规手术,同时开展针对肺部肿瘤的一站式诊疗,包括内镜、CT引导等多种手段活检及肿瘤的全身治疗,如化疗、免疫、靶向等治疗,能够为肺部肿瘤患者提供标准化、个体化治疗方案,获得最理想的远期疗效。
References
[1] Abdallah HM, Martinez-Meehan D, Lutfi W, et al. Adjuvant chemotherapy for pulmonary sarcomatoid carcinoma: A retrospective analysis of the National Cancer Database. J Thorac Cardiovasc Surg. 2022. 163(5): 1669-1681.e3.
[2] Steuer CE, Behera M, Liu Y, et al. Pulmonary Sarcomatoid Carcinoma: An Analysis of the National Cancer Data Base. Clin Lung Cancer. 2017. 18(3): 286-292.
[3] 魏源, 陈澄, 谢逸菲, 黄建安. 肺肉瘤样癌免疫治疗的研究进展. 中华结核和呼吸杂志. 2024. 47(5): 480-484.
[4] Sun C, Mezzadra R, Schumacher TN. Regulation and Function of the PD-L1 Checkpoint. Immunity. 2018. 48(3): 434-452.
[5] He X, Xu C. Immune checkpoint signaling and cancer immunotherapy. Cell Res. 2020. 30(8): 660-669.
【本文仅限于公益科普及学术交流,如有不适请及时就医。文中治疗方案仅限本病例,部分资料来源网络及文献,侵删。】
- 标签:
- 胸外科








京公网安备11010502033717号