医院新闻
【杨柳MDT】清华大学附属垂杨柳医院多学科协作完成罕见纵隔神经鞘瘤微创切除手术
近日,清华大学附属垂杨柳医院胸外科联合麻醉科,通过MDT多学科协作成功为一名患者完成上纵隔罕见神经鞘瘤的微创切除手术,术后患者恢复良好,顺利出院。

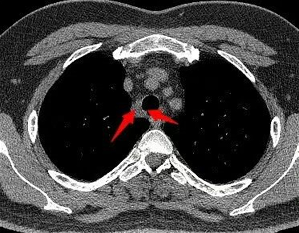
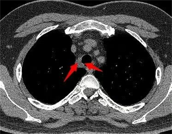
患者为35岁男性,在体检中发现上纵隔气管旁存在一直径约1.5厘米的肿物。胸外科为其进行了超声支气管镜引导下经支气管针吸活检术,病理结果提示为神经鞘瘤。影像学检查显示肿物疑似侵犯气管,但气管镜观察见局部黏膜尚光滑、仅略有隆起,病情具有一定复杂性。
为制定稳妥的手术方案,胸外科主任崔健联合麻醉科主任杨彦伟、副主任任海强共同开展多学科讨论。团队在明确肿瘤完整切除为目标的基础上,周密设计了手术入路与操作步骤,并准备了气管局部切除与重建的应急预案,以应对术中发现气管受侵犯的可能。

手术在胸腔镜下进行。术中探查发现,尽管肿物对气管形成局部压迫,但未侵犯气管壁。在团队密切配合下,手术顺利完成肿瘤完整切除。术后病理结果进一步证实为神经鞘瘤。患者术后恢复顺利,第二天拔除胸腔引流管,第四天出院。
该病例的成功诊治,体现了医院在胸部疑难疾病诊疗方面多学科协作的优势。通过胸外科、麻醉科、病理科等多科室的紧密配合,实现了对罕见纵隔肿瘤的精准诊断、预案完善与微创治疗,在保证手术安全性的同时,最大程度减少了手术创伤,加快了患者康复进程。
科普小课堂 ·神经鞘瘤
一、什么是神经鞘瘤
神经源性肿瘤是后纵隔最常见的肿瘤类型,其中仅5%-15%为恶性。这类肿瘤可来源于胸腔内任何神经结构,按细胞来源一般分为三类:外周神经鞘细胞来源、交感神经节细胞来源,以及副交感系统脊神经节的节细胞[1]来源。
神经鞘瘤又名施万细胞瘤,起源于周围神经鞘膜的施万细胞,属于良性[2]肿瘤。它可发生于任何年龄,以中青年为好发人群,男女发病率无显著差异[3],多为单发。神经鞘瘤的整体年发病率约为0.2-0.3/10万人口,但气道旁神经鞘瘤却十分罕见,全球报道不足200例,仅占所有气管肿瘤的0.5%。该肿瘤起源于神经鞘细胞,生长缓慢且极少恶变,临床需特别警惕误诊情况。
二、临床表现及诊断
纵隔神经源性肿瘤往往无明显症状,缺乏特异性临床表现,相当一部分患者是在体检时偶然发现的。术前影像学检查(如增强CT或MRI)是诊断该肿瘤的主要手段,不仅能精准定位肿瘤位置、明确其与毗邻结构的关系,还可初步判断肿瘤性质[4]。
三、治疗
各类纵隔神经源性肿瘤,无论良性还是恶性,随着肿瘤逐渐增大,终将压迫周围脏器,或向椎间孔内侵袭生长,给后续治疗增加难度,或因其特殊的内分泌活性引发临床症状。因此,这类肿瘤需尽早诊断与治疗,外科手术切除是最主要的[5]治疗手段。
References
[1] Ayub S, Shakoor MT, Hasan S, Khan JA. Mediastinal mass diagnosed as a benign schwannoma. Singapore Med J. 2011. 52(9): e167-9.
[2] 王红琴, 杨光钊. 腹膜后完全囊性神经鞘瘤CT征象及病理对照分析. 中华放射学杂志. 2011. 45(8): 789-790.
[3] 赛金海, 金凤强, 刘爱连, 李智勇. 中纵隔神经鞘瘤1例. 中国医学影像技术. 2016. 32(11): 1672.
[4] 翟跃杰, 王勇. 纵隔神经源性肿瘤的影像学诊断. 中国实用医药. 2008. 3(21): 70-71.
[5] 戴一帆, 余涛, 吕群. 左后纵隔巨大神经鞘瘤伴囊性变1例并文献复习. 健康研究. 2018. 38(1): 109-111.
【本文仅限于公益科普及学术交流,如有不适请及时就医。文中诊疗方案仅限于本病例。部分资料来源文献及网络,侵删。】








京公网安备11010502033717号