科普文章
【杨柳科普】可爱鹦鹉背后隐藏的健康风险:一位养鹦鹉老人的肺炎警示
前段时间,清华大学附属垂杨柳医院重症医学科(ICU)收治了一位因骨折入院发现肺炎、呼吸衰竭的老人。经过详细问诊,得知家中卧室养有一只可爱的鹦鹉,进一步呼吸道病原学检测揭示了病因:鹦鹉热衣原体(Chlamydia psittaci,Cps)感染。科室经给予多西环素针对性抗感染治疗,老人病情得以好转。这个案例警示我们:在享受爱鸟带来的乐趣时,千万不能忽视它可能带来的传染病风险——鹦鹉热。
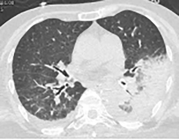
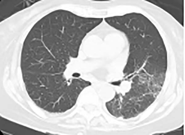
治疗效果速览


相关知识回顾
参考《2024年鹦鹉热诊疗中国专家共识》
一、什么是鹦鹉热?
鹦鹉热,又称“鸟疫”,是一种由鹦鹉热衣原体引起的人畜共患传染病,多于冬春季流行,且人群普遍易感,潜伏期一般为5-14天。这种病原体主要寄生在鸟类体内,如鹦鹉、金丝雀、鸽子、家禽等。人类主要通过吸入含有病原体的空气颗粒而感染。例如在清理鸟笼、喂食、或与鸟儿亲密接触时,吸入被鸟类排泄物污染的气溶胶就可能中招,导致社区获得性肺炎。
二、感染后有哪些症状?
临床表现多样,缺乏特异性,极易被误诊或漏诊。以呼吸系统症状为主,典型症状包括高热、畏寒、咳嗽、纳差、乏力、头痛、肌肉酸痛、呼吸困难和肺部浸润性病变等,严重者可导致急性呼吸窘迫综合征、感染性休克或多器官功能障碍。有基础疾病者更易发展为重症。
三、胸CT有哪些特点?
胸CT以炎性病变始于单侧肺下叶多见,加重后累及双侧肺叶,上下肺均可受累,主要表现为大片状实变影,可合并小片状磨玻璃影、结节影,以胸膜下分布为主,可见“支气管充气征”“细网格征”“晕征”,常伴胸腔积液,可伴淋巴结肿大。
四、如何诊断?
由于症状不典型,因此禽鸟接触史非常关键!但确诊依赖于实验室检查。
病原学核酸检测是目前最常用且快速的诊断方法,另外宏基因组二代测序(mNGS)及靶向下一代测序(tNGS)亦能快速准确检测,具有独特的优势和应用潜力,支气管肺泡灌洗液(BALF)为临床最佳样本。
病原学培养操作复杂、耗时较长且风险高,不宜首选。
血清学抗体检测:双份血清抗体滴度4倍以上增高有诊断意义。
五、如何治疗?
治疗上首选药物是四环素类抗生素,如多西环素。对于禁忌的患者(如孕妇、儿童),可选用大环内酯类药物如阿奇霉素。早期、足量、足疗程的治疗,有助于保障治疗效果,多数患者经规范治疗后可实现病情好转。
温馨提示
如何预防鹦鹉热?
建议从正规渠道购买,新鸟可于兽医处行健康检查;将鸟笼放在通风良好的地方,切忌睡眠区域,以减少吸入风险;做好清洁防护,如佩戴口罩和手套,处理后彻底洗手;保持卫生习惯,定期消毒清洗饲养环境;关注鸟类健康,如发现异常及时将其隔离并咨询兽医,同时做好个人防护;提高警惕,一旦出现流感样症状或肺炎,及时就医并主动提供禽鸟接触史。
总结
鹦鹉是聪明伶俐的伴侣动物,但也可能是病原体的携带者。树立科学防范意识,做到安全饲养、注重卫生、及时告知,享受爱鸟乐趣的同时,最大程度远离鹦鹉热的威胁。
【免责声明:本文内容仅为健康知识科普,旨在向公众传播鹦鹉热相关防治常识,不构成任何医疗诊断、治疗建议或用药指导。若出现疑似症状或相关健康问题,请及时前往正规医疗机构就诊,遵从专业医师的诊疗方案。】
- 标签:
- 重症医学科








京公网安备11010502033717号