医院新闻
【杨柳探营】小伙颅内动脉瘤破裂,神外抢救助重返校园 | 神经外科成功救治一例血泡样动脉瘤破裂伴重症蛛网膜下腔出血患者
近日,清华大学附属垂杨柳医院神经外科成功治疗一例最凶险颅内动脉瘤:血泡样动脉瘤破裂伴重症蛛网膜下腔出血青年患者。目前患者已准备重返校园,攻读硕士研究生。
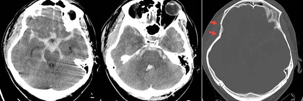
今年26岁的于先生,5月11日晚间被路人发现昏迷倒于路边,由救护车送至清华大学附属垂杨柳医院急诊科。当时无家属在场,病史不详。查体患者呈中度昏迷,GCS5分,右侧颞部头皮挫伤伴出血。双侧瞳孔直径3mm,对光反射消失。急查头颅CT显示广泛蛛网膜下腔出血,第三、四脑室积血,右侧颞骨凹陷骨折。

▲头颅CT显示
广泛蛛网膜下腔出血,脑室积血,右侧颞骨凹陷骨折
期间患者病情恶化,出现呼吸不规则,血氧饱和度降至90%,急诊科医生急予气管插管接呼吸机辅助呼吸。神经外科副主任医师刘磊急至急诊科会诊,此时已联系上远在外地的患者父亲,得知患者既往体健,当日刚抵达北京出差。刘磊仔细研判病情认为,患者自发性蛛网膜下腔出血可能性大,右侧颞骨骨折应为昏迷后摔倒所致,出血原因首先考虑颅内动脉瘤破裂。通过电话向患者家属交代病情及诊治方案,患者颅内出血量大,昏迷,Hunt-Hess分级5级,死亡率极高。家属表示理解并同意积极治疗。遂决定急诊手术,先行脑血管造影筛查出血原因,酌情行下一步处理。手术于复合手术室进行,术中造影提示左侧颈内动脉眼动脉段血泡样动脉瘤,与患者的病情相吻合。此种动脉瘤极为少见,治疗难度很大,且复发和再出血概率极高。

▲DSA显示
左侧颈内动脉眼动脉段血泡样动脉瘤,直径约1mm
神经外科脑血管病介入团队采取微创治疗,于载瘤动脉内套叠释放两枚编织支架,起到血流导向作用,部分阻断了进入动脉瘤的血流,降低了再出血风险。术后入住ICU,予机械通气,镇静镇痛、防治脑血管痉挛、脱水等治疗。定期复查头颅CT未再出血,无脑梗死及脑积水。患者病情逐渐好转,1个月后转至当地康复医院继续治疗。出院时患者神志清楚,可进食,混合性失语,左侧肢体不完全偏瘫。

▲术后影像可见套叠支架,动脉瘤处网孔密度较高
出院1个月后,神经外科团队对患者进行随访,患者语言及左侧肢体障碍已基本恢复。出院后2个月于当地医院复查脑血管造影,显示血泡样动脉瘤已完全闭塞,载瘤动脉通畅。家属对清华大学附属垂杨柳医院神经外科团队的及时救治表示万分感谢。目前患者正在为硕士研究生的新学期做准备。

▲术后3个月复查造影显示动脉瘤闭塞,载瘤动脉通畅
神经外科 | 科普小课堂
血泡样动脉瘤
血泡样动脉瘤(Blood Blister-Like Aneurysm,BBA)是一类罕见的颅内动脉瘤,占所有颅内动脉瘤的0.3%-1%,被称为最凶险的颅内动脉瘤。BBA这个名词是日本学者在1988年首次提出的,因其在开颅手术中所呈现的薄如蝉翼的瘤壁而得名。BBA常呈入院后短期快速进展模式,临床预后普遍较差。
以下是目前公认的诊断标准:
①动脉瘤位置:位于颈内动脉床突上段前壁或前内侧壁,非分叉部位,且不累及眼动脉、后交通动脉等分支。
②形态特征:小瘤体(最大直径<10mm),宽基底,无明显瘤颈。呈半球形或浆果状,瘤壁菲薄,DSA下可见血流冲击形成的动态变化。
③临床表现:典型症状为蛛网膜下腔出血(SAH),出血量大,其中约70%的患者WFNS分级>3级。
④影像学特征:DSA是确诊的金标准,可见动脉瘤快速生长(2周内复查血管影像发现明显增大)、载瘤动脉狭窄或夹层;CTA/MRA辅助诊断,可能显示微小突起或不规则血管壁;高分辨率MRI有助于发现血管壁的夹层或动脉硬化病变。
⑤病理特点:病理学表现为假性动脉瘤,血管壁内弹力层退变,内膜和中膜破损,被纤维蛋白组织或外膜覆盖。
治疗
基于BBA的自身特点,无论外科开颅手术还是血管内介入治疗,术中及术后的出血风险均较高,且术后极易复发。
1.外科开颅手术有夹闭、夹层重建、孤立搭桥等方式,对于大部分血泡样动脉瘤患者,动脉瘤夹闭术仍为一线治疗方法。然而,血泡样动脉瘤与囊状动脉瘤不同,因其瘤壁薄、无明显瘤颈且累及周围载瘤动脉,直接夹闭极易造成瘤颈撕裂,可导致术中致命性出血,有文献报道其术中出血率达30%~50%,且术后复发率及再出血率也较高。
2.常见血管内介入治疗的方式:
①支架辅助弹簧圈栓塞:类似“铆钉”技术,这种操作并不安全,因为动脉瘤瘤体的脆性和瘤颈部血管界面的缺乏,在动脉瘤囊腔内放置弹簧圈时可导致动脉瘤穿孔和急性出血。
②支架套叠技术:通过重叠放置多个支架可增加支架的网孔密度和支架厚度,促进支架内皮化和动脉瘤完全闭塞,达到血流导向的作用,从而提高完全闭塞率,改善神经功能预后。支架类型的选择以编织支架为主,如Lvis、Leo等,充分利用编织支架金属覆盖率高和可以推密的特性。
③覆膜支架置入:利用其支架表面不透血的覆膜材料隔绝动脉瘤,且微导管、微导丝不进入瘤体操作,增加了手术的安全性。但血泡样动脉瘤常离眼动脉、脉络膜前动脉等距离较近,覆膜支架容易覆盖这些重要分支。
④血流导向装置置入,随着这些年来密网支架应用经验的不断丰富,双密网支架甚至三密网支架套叠释放来治疗BBA也越来越多,旨在把其血流导向的作用发挥到极致。此方法避免了瘤内操作,同时不用担心眼动脉、脉络膜前动脉等分支血管的覆盖,但多层密网支架的置入,除了费用高昂,还要担心多层密网支架所带来的高血栓栓塞事件。载瘤动脉内置入支架术后均需抗血小板治疗,可能会加重颅内再出血。另外密网支架用于破裂动脉瘤,属于超适应症使用。

针对此病例,清华大学附属垂杨柳医院神经外科团队采取套叠置入了两枚编织支架,动脉瘤处采取了推密技术,起到了很好的血流导向作用,隔绝了动脉瘤内血流,复查显示效果良好。
本文仅限于公益科普及学术交流,如有不适请及时就医。文中自测内容不作为医学诊断依据。文中部分图片及资料来源于网络,侵删。








京公网安备11010502033717号