科普文章
【杨柳科普】脑内的“拆弹”:密网支架巧治颅内动脉瘤
近日,清华大学附属垂杨柳医院神经内科成功为一名63岁女性患者拆除了脑内的“不定时炸弹”。该患者在住院期间通过脑血管检查,发现左侧颈内动脉C4段存在一枚动脉瘤。经综合评估,该动脉瘤破裂风险较高。

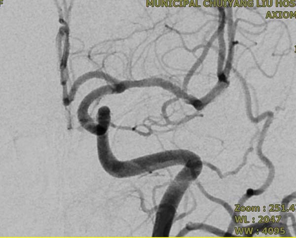
▲术前DSA

▲术后3个月复查DSA
经与家属充分沟通同意后,医院神经内科副主任医师胡益民、苏杭完成颅内动脉瘤密网支架植入术。手术效果良好,有效避免了日后动脉瘤破裂的风险,也为颅内动脉瘤患者提供了更微创的治疗选择。今天,我们就借这个案例,带大家了解一下这项脑动脉瘤治疗技术:密网支架植入手术。
一、什么是颅内动脉瘤?
想象一下,我们的大脑里布满了精密的血管,就像城市下方复杂的水管系统。由于先天缺陷、长期高血压或动脉硬化等多种因素,血管壁的某个薄弱点可能会像吹气球一样慢慢鼓起,形成一个囊状或梭形的突起,这就是颅内动脉瘤。
它虽然名为“瘤”,却并非传统意义上的肿瘤,而是一颗藏在脑内的“不定时炸弹”。平时它可能悄无声息,一旦破裂,就会导致致命的蛛网膜下腔出血,致残率(20%)和死亡率(40-50%)均较高。据统计,全球范围内,在50岁左右的人群中未破裂颅内动脉瘤患病率约3%,在中国,35-75岁成人中的未破裂颅内动脉瘤患病率约7%。
二、面对这种“炸弹”,我们曾有哪些选择?
过去几十年,脑动脉瘤的治疗经历了两次飞跃:
1.开颅夹闭术:这是经典的外科方法。医生需要打开患者的颅骨,找到动脉瘤,用一枚微小的金属夹子从根部夹闭瘤体,阻断血流进入。这种方法虽然有效,但创伤大、恢复慢,对于脑深部的复杂瘤体,手术难度极高。
2.弹簧圈栓塞术:随着微创介入技术的发展,医生可以在大腿根部穿刺股动脉,将微导管送到动脉瘤里,填入柔软的铂金弹簧圈,填满瘤囊,使其形成血栓从而闭塞。这虽然避免了开颅,但对于“宽颈”(瘤颈很宽)或不规则形状的动脉瘤,弹簧圈容易脱落,复发率较高。后来发展出的“支架辅助栓塞”虽然能兜住弹簧圈,但其根本逻辑依然是“填塞”。
三、密网支架植入手术是从“填塞”到“重建”的革命,那么,密网支架植入手术与以上技术有什么根本不同呢?
密网支架,顾名思义,是一种网眼非常密集细小的管状金属支架,又被称为血流导向装置,它的治疗理念不再是传统的“填塞”,而是颠覆性的“血流重塑”。医生通过微创介入技术,将这枚压缩状态的支架输送到长出动脉瘤的血管(即载瘤动脉)处,精准地跨越动脉瘤的瘤颈口释放。释放后的密网支架贴附在血管壁上,起到了两个作用:
1.疏导血流:高密度的网眼改变了血流方向,原本猛烈冲击动脉瘤囊的血流被支架阻挡,导向了远端正常的血管,使进入瘤囊的血流变得缓慢、淤滞,最终在瘤内形成血栓,让动脉瘤逐渐萎缩、闭合。
2.搭建“脚手架”:支架的高金属网格为血管内皮细胞提供了一个攀爬生长的“脚手架”。随着时间的推移,新的内皮细胞会覆盖支架表面,重建一层光滑的血管壁,实现动脉瘤与正常血管的彻底隔绝,最终使动脉瘤逐渐萎缩闭塞。

四、此项技术的特点有哪些?
1.微创安全:采用微创介入方式,不进入瘤囊操作,有助于降低术中相关风险;
2.适用范围更广:适用于大型/巨大型、宽颈、梭形、多发及复杂型动脉瘤等多种情况;
3.远期闭塞率更理想:临床数据显示远期完全闭塞率可达 80%–90%,复发率相对更低;
4.操作更为简便:多数病例无需填塞弹簧圈,可简化操作流程、缩短手术用时。
为精准把握手术指征与安全,术前,需完善全脑血管造影对动脉瘤的形态、大小及载瘤动脉的血管条件进行全面评估;术中,需由经验丰富的神经介入医生精准将密网支架植入病变部位;术后,患者需严格遵医嘱服用抗血小板药物,以预防支架内血栓形成及缺血性卒中事件的发生,并需定期复查全脑血管造影,以评估动脉瘤的最终闭塞情况。本例患者行密网支架植入术后三个月复查全脑血管造影,结果显示密网支架贴壁良好,无支架内血栓形成,继续用药和定期复查即可。
此次,清华大学附属垂杨柳医院神经内科完成密网支架植入术,体现了我院神经介入团队精湛的技术水平和成熟的协作能力,也标志着我院在脑血管介入治疗领域迈上了新台阶。未来,神经内科将继续深耕脑血管疾病诊疗技术,以更优质的医疗服务为辖区百姓的脑血管健康保驾护航!
【本文仅限于公益科普及学术交流,如有不适请尽快就医,文中部分资料来源于网络,侵删,谢谢!】








京公网安备11010502033717号